#피부 타이트닝
#피부 결 개선 #색소침착 개선피부 구조를 채우는 haDM 기반 피부 재생 솔루션


Point 01
초임계 CO₂ 기술이란?
제조 과정에서 계면활성제 대신 초임계 이산화탄소(CO₂)를 사용하여,
잠재적 독성이 없고, ECM구조와 성장인자를 효과적으로 보존하는 독자적인 기술


Point 02


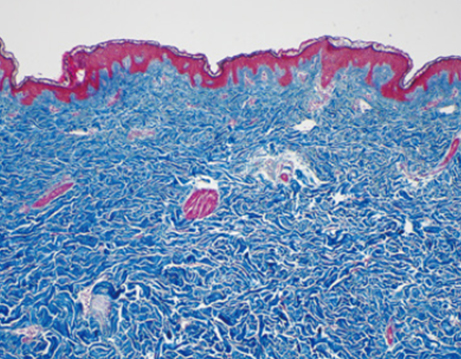
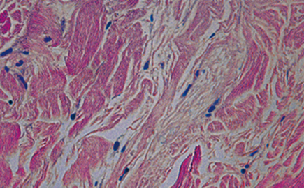
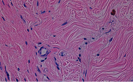
피부의 골격을 이루는 ECM(세포외기질)을 보존한 채 전달되어
처진 조직을 안정적으로 지지하고 피부 결, 탄력 등 동시 개선 효과 기대






Point 03
쥬브아셀은 인체 유래 무세포 진피(haDM) 기반으로 피부 안정성을 높이고
콜라겐 · 엘라스틴이 풍부해 피부 본연의 밀도와 탄력을 회복시킵니다.

Point 04




동안을 위한 최적의 솔루션 땡큐 쥬브아셀은 다릅니다
효과를 높이기 위해 꼭! 시술경험이 풍부한 의료진과 상의하세요.






